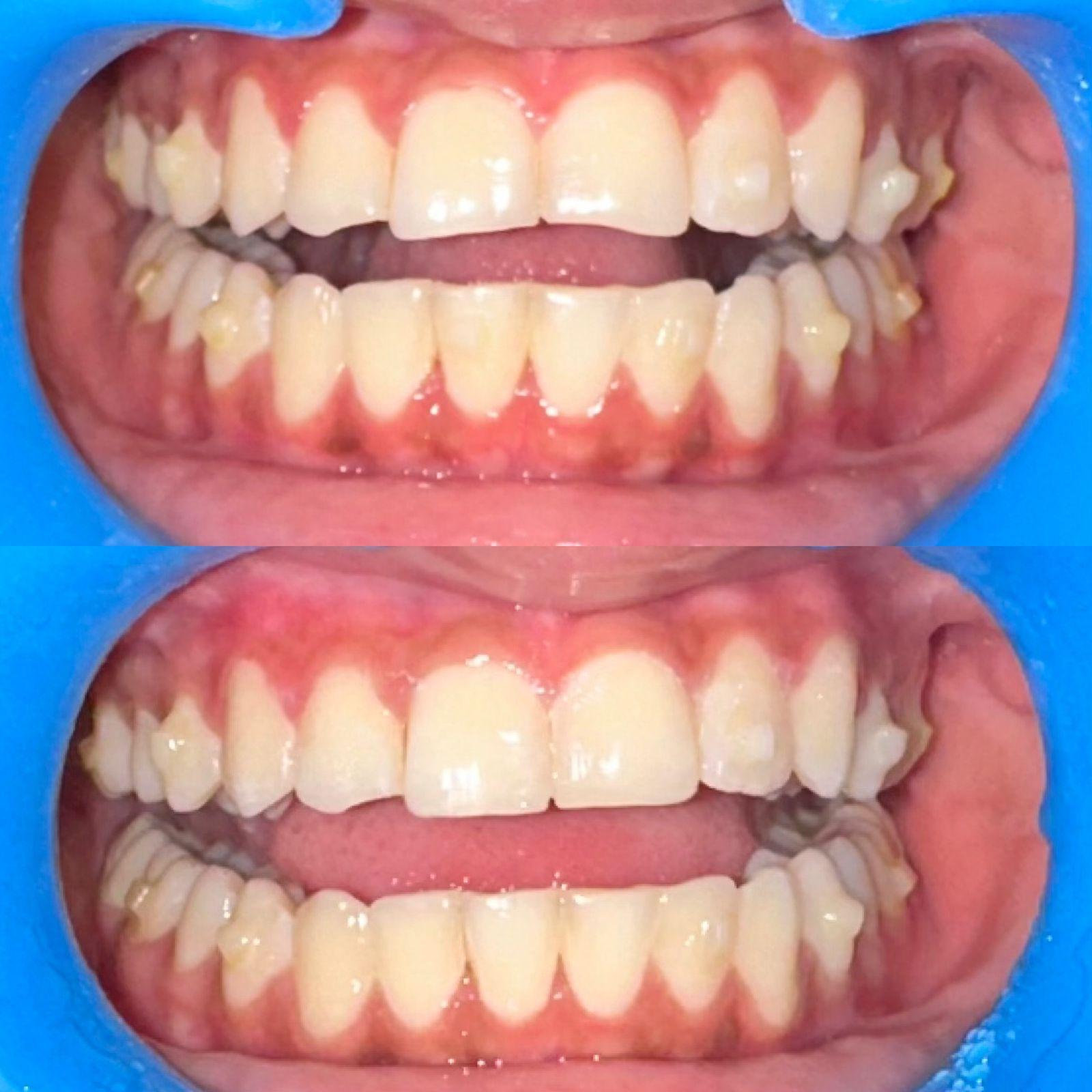
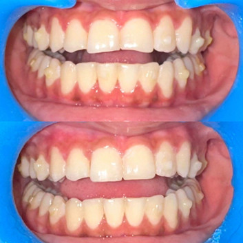
People often think that a smile is their best feature because it can show that they are friendly, confident, and easy to talk to. On the other hand, not everyone is born with a perfect smile. Problems with our teeth, like gaps, discolouration, misaligned teeth, or an uneven gum line, can affect how we feel about ourselves and how other people see us. That's where smile designing Treatment comes in. It's a specialised cosmetic dental procedure that helps each person get the smile they want.
As a well-known dentist at The Dental Studio in Vizag, Dr Chakradhar Sana is one of the best in this field. Dr. Chakradhar Sana has years of experience and advanced training. He has helped many people improve their smiles, which has made them feel better about themselves and their oral health. Creating smiles is both an artistic and scientific process for him. He uses the newest technology along with a personal touch to make smiles that look good and work well.
We will talk about Smile Designing by Dr. Chakradhar Sana and smile makeovers at The Dental Studio and how they can improve your life in this article.
What is Smile Designing Treatment?
Smile designing Treatment is a very individualised dental procedure that involves using a variety of cosmetic and restorative dental treatments to make someone's smile look better. The process is very careful and takes into account the person's face shape, the shape and alignment of their teeth, as well as their lips and gums. Because of this, smile designing is a practice that combines parts of orthodontics, prosthodontics, periodontics, and cosmetic dentistry.
Smile designing is different from other types of dentistry because it is completely customised to each patient's unique features. People who have broken, stained, or crooked teeth or who want to improve the overall balance of their smile can get help with smile design.
How the process of designing a smile works: -
A detailed consultation is usually the first step in the process. Dr Chakradhar Sana will talk to you about your worries, hopes, and dental history to get a better idea of what you want. Once he knows what your goals are, he will do a full exam that may include the following:
-
X-rays
-
Photographs
-
Advanced software is used for digital smile simulation to show you what your new smile will look like.
-
3D imaging to get a very accurate picture of your mouth and teeth
Based on this thorough exam, Dr Chakradhar Sana can create a custom smile plan that takes into account how your face, teeth, and gums look. The plan is to fit your natural features and fix any flaws that might be making your smile look bad.
Get a new smile with Dr. Chakradhar Sana: -When you get a smile makeover, all of the cosmetic dental procedures that are used together to make your teeth and gums look better are put together. At The Dental Studio, Dr Chakradhar Sana does smile makeovers as his speciality. He uses his extensive knowledge and cutting-edge technology to make results that look natural and good.
A lot of different procedures can be used to change the look of your smile, such as:
Teeth Whitening:
To people who want to get rid of discolouration and make their smiles brighter.
Dental Veneers:
Dental veneers are thin, custom-made shells that cover the front of the teeth and fix small problems like gaps, chips or cracks.
Crowns and Bridges:
They are used to fix teeth that are broken or missing, making them look better and work better.
Orthodontics:
To straighten out crooked teeth or not in the right place, giving you a better smile.
Gum Contouring:
A procedure that changes the shape of the gum line to make the teeth and gums look better together.
One thing that makes Dr. Chakradhar Sana's smile makeovers stand out is that he doesn't just focus on how the smile looks; he also fixes any health or structural problems with your teeth and gums. His job is to ensure that your new smile is not only nice on the outside but also healthy and useful.
What Makes Dr. Chakradhar Sana the Best for Designing Your Smile?
With a reputation for excellence and patient satisfaction, Dr Chakradhar Sana has made a name for himself as one of the best cosmetic dentists in Vizag. There are a few good reasons to think about Dr Sana if you want to change or design your smile:
Skill and Experience:
From years of cosmetic dentistry experience, Dr. Sana understands the complexities of smile design. His precision and training allow him to create natural-looking results that match each patient's facial features.
Advanced Tech:
At The Dental Studio, Dr. Chakradhar Sana uses digital smile design software, 3D imaging, and laser dentistry to ensure accuracy and comfort. Advanced technology makes results more predictable, giving patients confidence that their new smile will look great.
Comprehensive Care:
Dr Sana designs smiles with your teeth and gums in mind. He will assess your dental health before starting a smile makeover to ensure strong foundations for a beautiful and long-lasting smile.
Customised Treatments:
Each smile is unique, and Dr. Chakradhar Sana knows this. He customises treatment plans for each patient, and you are involved from consultation to completion.
Focus on Patients:
Dr. Sana and his team value patient satisfaction. They thoroughly explain each procedure, address concerns, and ensure your comfort. We want to make your visit fun and stress-free so you can smile proudly.
Our Dental Studio Smile Designing Treatment in Vizag Process:
Smile Designing Treatment in Vizag by Dr. Chakradhar Sana offers several smile design procedures at The Dental Studio. He may suggest one or more of the following depending on your needs:
Teeth Whitening:
Professional teeth whitening is a simple and popular way to improve your smile. Ageing, diet, smoking, and poor oral hygiene can discolour teeth. Dr Sana's advanced in-office whitening treatments can brighten your teeth in one session, giving you a radiant smile.
Porcelain Veneers:
Ultra-thin, custom-made porcelain veneers cover your teeth. They are ideal for fixing cosmetic issues like:
-
Discoloured teeth that don't whiten
-
Damaged teeth
-
Misaligned teeth
-
Spaces between teeth
Dental Bridges and Crowns:
Dental crowns and bridges restore function and appearance to damaged, decayed, or missing teeth. Custom crowns strengthen and conceal damaged teeth, while bridges replace missing teeth for a complete smile.
Gum contouring:
A gummy smile occurs when excessive gum tissue covers the teeth, making them appear shorter. Gum contouring balances the smile by reshaping the gum line. Advanced laser technology allows Dr. Sana to safely and painlessly remove excess gum tissue, revealing more teeth and improving smile symmetry.
Orthodontics treatment:
Dr Sana offers clear aligners or braces to straighten crooked, misaligned, or crowded teeth. Orthodontics may take longer than other smile design procedures, but the results are worth it.
Dental implants:
Missing teeth affect your smile and oral health. Dental implants are the best and longest-lasting tooth replacement option. A titanium post is surgically implanted into the jawbone to support a crown, bridge, or denture.
Conclusion:
Smile Designing by Dr Chakradhar Sana at The Dental Studio in Vizag can help you design the smile of your dreams. A smile is one of the most powerful tools a person can have. Dr. Sana's expertise and cutting-edge technology can solve your dental issues, including chipped, stained, misaligned, or other dental problems.
Smile design restores confidence, improves oral health, and allows patients to smile without hesitation. If you've ever felt self-conscious about your smile, take action now. Schedule a consultation with Dr Chakradhar Sana at The Dental Studio in Vizag today to start your journey to a more beautiful, confident smile.
