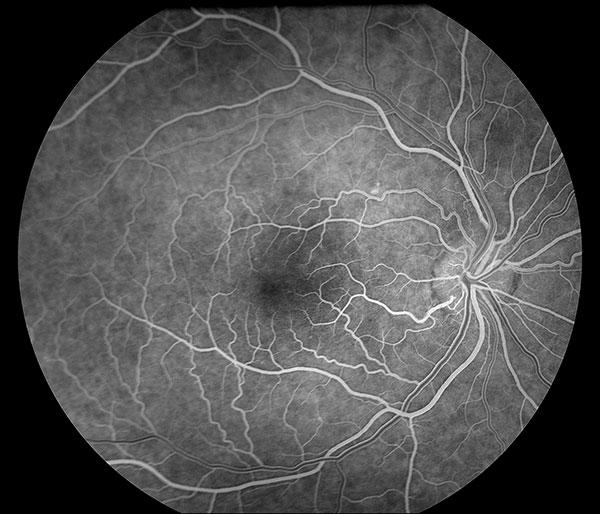
Fluorescein angiography is used to diagnose and monitor a range of eye conditions, including macular degeneration, diabetic retinopathy, and retinal vascular occlusions. The technique can detect any abnormalities in the blood vessels of the retina, such as blockages, leakage, or abnormal growth, which may be contributing to the patient's vision problems.
