Trám răng là một trong những thủ thuật nha khoa đơn giản, thường được chỉ định để phục hồi răng bị sâu, mẻ, nứt vỡ hoặc tổn thương nhẹ. Tuy không quá phức tạp nhưng nhiều người vẫn băn khoăn không biết trám răng mất bao lâu, quy trình cụ thể ra sao và liệu có ảnh hưởng đến sinh hoạt hằng ngày hay không. Bài viết dưới đây sẽ giúp bạn hiểu rõ hơn về thời gian trám răng cũng như những yếu tố ảnh hưởng đến tốc độ thực hiện, từ đó chủ động sắp xếp lịch trình hợp lý khi có nhu cầu điều trị.

Trám răng là gì và khi nào cần thực hiện?
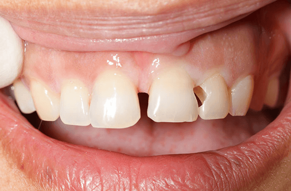
Trám răng là kỹ thuật sử dụng vật liệu chuyên dụng để lấp đầy phần mô răng bị khuyết, giúp khôi phục hình dạng, chức năng ăn nhai và ngăn ngừa vi khuẩn xâm nhập sâu hơn. Phương pháp này thường được áp dụng trong các trường hợp như:
- 
Răng bị sâu nhẹ đến trung bình, chưa ảnh hưởng đến tủy 
- 
Răng bị mẻ, nứt do chấn thương hoặc ăn nhai đồ cứng 
- 
Răng sau khi điều trị tủy cần phục hình 
- 
Răng có khe hở cần đóng kín để tránh tích tụ thức ăn 
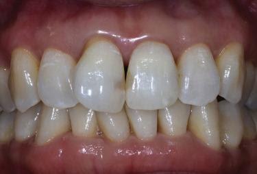
Nhờ tính thẩm mỹ cao, độ an toàn và chi phí hợp lý, trám răng hiện đang là lựa chọn phổ biến trong điều trị nha khoa.
Trám răng mất bao lâu? Thời gian cụ thể là bao nhiêu phút?
Thời gian trám răng sẽ phụ thuộc vào nhiều yếu tố như số lượng răng cần trám, vị trí răng, loại vật liệu sử dụng và mức độ tổn thương của răng. Tuy nhiên, trung bình một ca trám răng đơn giản thường mất từ 15 đến 30 phút cho mỗi răng.
Cụ thể:
- 
Trám răng sâu nhẹ hoặc mẻ nhỏ: khoảng 15 – 20 phút/răng 
- 
Trám răng sâu lớn hoặc phục hình sau điều trị tủy: từ 30 – 45 phút/răng 
- 
Trám nhiều răng cùng lúc: có thể kéo dài 1 – 2 giờ tùy số lượng 
Đối với những trường hợp cần trám inlay/onlay (làm miếng trám gián tiếp từ sứ hoặc kim loại), thời gian có thể kéo dài từ 2 – 3 buổi hẹn do cần lấy dấu hàm và chế tác miếng trám tại labo.

Các bước trong quy trình trám răng
Để trả lời rõ hơn cho câu hỏi “trám răng mất bao lâu?”, bạn cũng nên hiểu quy trình thực hiện gồm những bước nào. Một ca trám răng thông thường tại phòng khám nha khoa sẽ diễn ra theo các bước sau:
- 
Thăm khám và chẩn đoán: Bác sĩ kiểm tra tình trạng răng và tư vấn loại trám phù hợp. Bước này mất khoảng 5 – 10 phút. 
- 
Làm sạch mô răng tổn thương: Bác sĩ sử dụng dụng cụ chuyên dụng để loại bỏ mô sâu hoặc phần răng yếu. Mất khoảng 5 – 10 phút tùy mức độ. 
- 
Đặt vật liệu trám: Chất trám (thường là composite) sẽ được đưa vào lỗ trống và tạo hình. Quá trình này cần khoảng 10 – 15 phút. 
- 
Chiếu đèn và hoàn tất: Dùng đèn quang trùng hợp để làm cứng vật liệu, sau đó bác sĩ điều chỉnh khớp cắn và đánh bóng. Bước này mất khoảng 5 phút. 
Tổng thời gian trám răng thường không quá 30 phút nếu thực hiện đơn chiếc và không có biến chứng.
Những yếu tố ảnh hưởng đến thời gian trám răng
- 
Mức độ tổn thương của răng: Răng sâu lớn hoặc sát tủy sẽ cần xử lý kỹ hơn trước khi trám 
- 
Số lượng răng cần trám: Trám nhiều răng trong một buổi hẹn sẽ kéo dài thời gian hơn 
- 
Loại vật liệu trám: Trám composite thường nhanh hơn so với trám sứ gián tiếp (inlay/onlay) 
- 
Tay nghề bác sĩ: Bác sĩ có kinh nghiệm sẽ thao tác nhanh và chính xác hơn, rút ngắn thời gian điều trị 
Trám răng có phải nghỉ ngơi hay kiêng cử nhiều không?
Sau khi trám răng, bạn không cần nghỉ dưỡng hay kiêng cử quá mức. Tuy nhiên, nên chú ý một số điều sau:
- 
Tránh ăn uống trong khoảng 2 giờ đầu nếu mới trám bằng composite 
- 
Không dùng lực mạnh nhai thức ăn cứng tại vị trí vừa trám trong 1 – 2 ngày 
- 
Vệ sinh răng miệng nhẹ nhàng, không chà xát mạnh vào răng mới trám 
- 
Tái khám nếu có cảm giác đau, ê buốt kéo dài hoặc miếng trám bị bong 
Nhìn chung, quá trình hồi phục sau trám răng diễn ra khá nhanh, không ảnh hưởng nhiều đến sinh hoạt thường ngày.
Nên trám răng ở đâu uy tín để tiết kiệm thời gian và đảm bảo an toàn?
Việc lựa chọn địa chỉ nha khoa uy tín không chỉ giúp rút ngắn thời gian trám răng mà còn đảm bảo hiệu quả phục hồi và độ bền của miếng trám. Tại Nha khoa Sing, quy trình trám răng được thực hiện bởi đội ngũ bác sĩ chuyên môn cao, trang thiết bị hiện đại, sử dụng vật liệu cao cấp đạt chuẩn quốc tế. Nhờ đó, thời gian trám răng được tối ưu chỉ trong 20 – 30 phút/răng, đồng thời đảm bảo tính thẩm mỹ và an toàn tuyệt đối.
Đặc biệt, Nha khoa Sing có chính sách nhắc hẹn và bảo hành miếng trám định kỳ, giúp bạn yên tâm khi sử dụng dịch vụ lâu dài.
Kết luận
Trám răng mất bao lâu? Câu trả lời là từ 15 đến 30 phút cho mỗi răng nếu tình trạng tổn thương ở mức độ nhẹ đến trung bình. Tuy nhiên, thời gian cụ thể sẽ thay đổi tùy vào từng trường hợp. Điều quan trọng là bạn nên thăm khám sớm khi phát hiện dấu hiệu bất thường để được điều trị kịp thời, tránh các biến chứng nặng hơn. Nếu đang có nhu cầu trám răng nhanh chóng, an toàn và không đau, hãy đến ngay Nha khoa Sing để được tư vấn và trải nghiệm dịch vụ chất lượng cao.